SOLUTIONS
Life Sciences
Accelerate drug development with Digital pathology and AI solutions
Bringing a new drug to market typically takes between 10 and 15 years and on average $1.3 billion. However, the emergence of transformational technologies such as artificial intelligence and computer vision offers the potential to simplify and accelerate the drug development process, transforming how biomarkers are discovered and developed.
Aiosyn’s computational pathology solutions provide CROs and biopharma organizations with cutting-edge tools to identify new and existing pathology-based biomarkers, enhancing biological understanding and streamlining drug development efforts.
Leading AI technology for cancer and kidney disease research
-
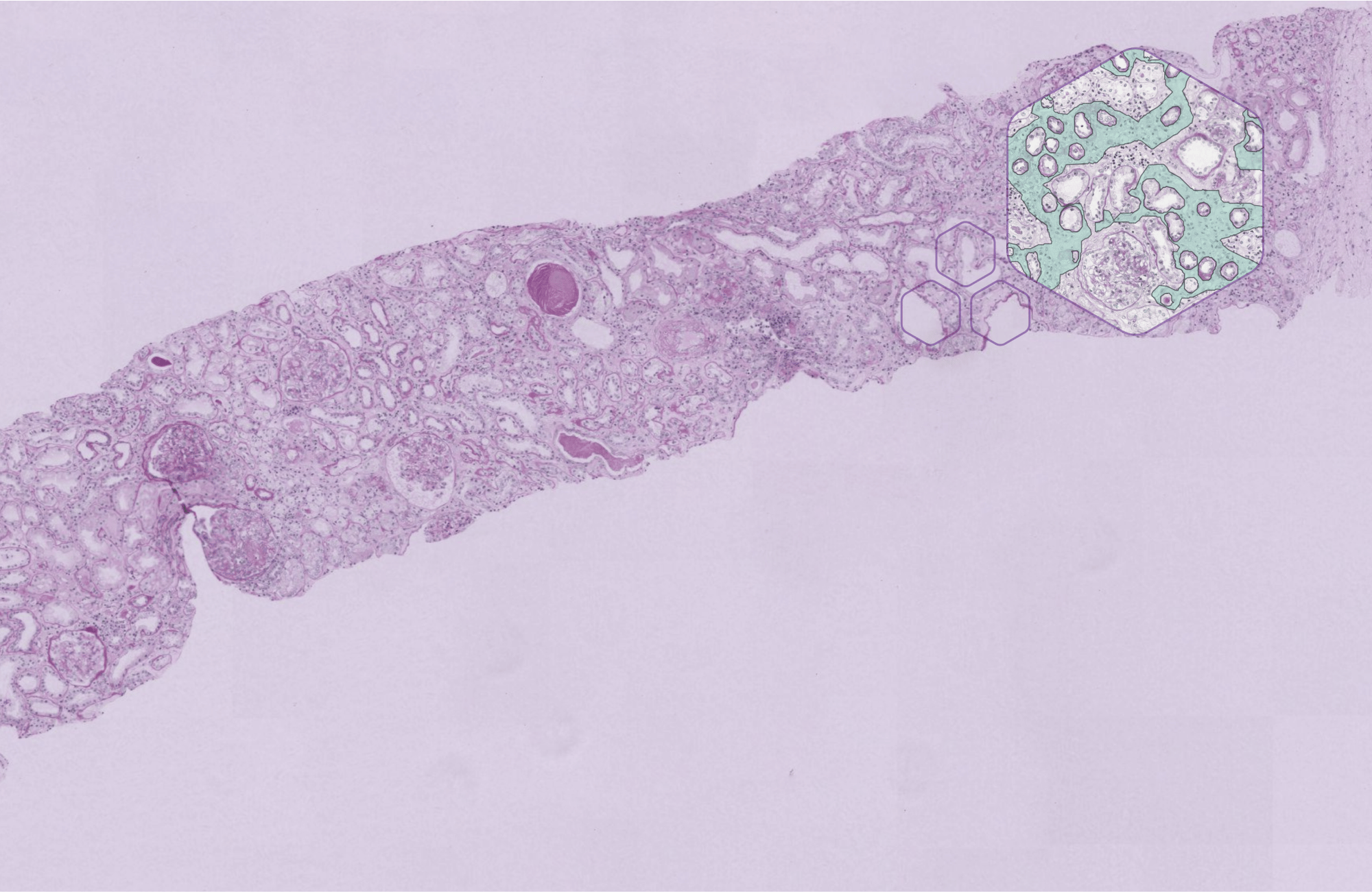
Objective quantification of kidney lesion scores
-
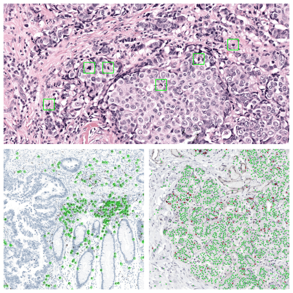
Cancer digital biomarkers
-
Histopathologic assessment of renal biopsies remains the gold standard for diagnosing various kidney diseases, while primary histologic indicators are also used for assessing disease progression. However, the current evaluation of renal biopsies by pathologists using the Banff classification scheme is hindered by observer variability, qualitative assessments, and limited granularity in key areas. This presents challenges in accurately assessing biopsies and hampers the prediction of treatment outcomes.
Aiosyn is the first company developing AI-powered solutions for the analysis of renal biopsies. Our innovative tools provide objective quantification of kidney lesion scores, which improve the efficiency and reproducibility of (pre)clinical studies. Through Aiosyn’s Kidney Image Analysis Services, your research can benefit from more reliable and standardized assessments, enhancing the overall quality and reproducibility of your findings.
-
Accurate prognostic and predictive biomarkers play a crucial role in determining the most suitable treatment for cancer patients. However, visual assessment by pathologists lacks precision to stratify patients into homogeneous risk categories. This often leads to over-, under, or suboptimal treatment outcomes. Consequently, there is a critical need to improve the predictive accuracy of pathology assessments.
AI image analysis represents a key advancement, enabling a comprehensive tumor characterization with accuracy and reproducibility that cannot be matched by the human eye. Aiosyn has extensive expertise in the identification and discovery of existing and novel biomarkers (e.g. AI-powered mitosis solution). We can assist your team in developing a robust digital biomarker strategy that will facilitate the identification of new, crucial patient subgroups, thereby enhancing the effectiveness of clinical trials and the precision use of new therapies.
Improve the efficiency of your research workflow
Explore Aiosyn’s AI-powered solution to automate the quality control (QC) of digital histology slides.
AiosynQC increases the efficiency of research workflows, offering a seamless integration into laboratory operations. Moreover, it provides an ideal solution for processing archived samples, streamlining the preparatory phase before subsequent examination. With support for both H&E and IHC slides, AiosynQC empowers laboratories to uphold consistent QC measures while significantly reducing the time and effort required for manual checks.
Why collaborate with Aiosyn?
Aiosyn develops AI-powered algorithms to provide insights into precision diagnostics strategies that may improve future therapy development, patient stratification, and the overall advancement of precision medicine. Leveraging AI/ML technology, high-quality pathology images, and data science expertise in the field of cancer and chronic kidney diseases (CKD), our team develops a comprehensive digital pathology and AI strategy for translational and clinical biomarker development projects.
Proven track record of integrated AI development in breast cancer and chronic kidney diseases
With a longstanding track record in developing AI-powered algorithms for breast cancer and CKD, we originate from a pathology laboratory and the Computational Pathology group from Radboudumc. We have developed a large network in these fields and collaborate closely with our network of pathologists to design, train, and validate advanced artificial intelligence models.
Advanced and compliant AI solutions for increased data security
Aiosyn’s dedication lies in developing and providing cutting-edge AI solutions tailored to pathology, all while ensuring the utmost security. We take pride in being ISO 13485 certified for medical devices, a testament to our commitment to quality and compliance.
Seamless integration and scalable deployment
Aiosyn’s cloud-based diagnostics platform facilitates seamless integration and scalable deployment of algorithms for clinical development studies. Aiosyn is modular and is integrated with diagnostic viewers in hospitals, which improves the scalability of new digital tests at a later stage.
Higher speed and accuracy driven by AI technology
Our technology harnesses a powerful form of machine learning called “neural networks” (or deep learning) to identify abnormal tissue patterns such as cancer. Artificial intelligence has shown to do this with unprecedented accuracy and speed. For quantifying patterns and cells of interest, AI offers consistent quality, repeatability, and speed.

Discovery and translational research
Partner with us to discover new morphologic features, pioneering biomarkers and spatial patterns using AI/ML technology. By harnessing data-driven insights, you can enhance your custom analytical and modeling strategies. Our approach combines quantitative assessment with multimodal omics data to improve robustness and reproducibility of downstream experiments.


Clinical development
The detection of histopathological biomarkers will support the identification of patient (sub)groups, including those most likely to respond to specific treatments. This enables more informed decision-making and can provide an objective measurement that may serve as an endpoint in clinical studies.
Experience our AI-powered pathology algorithms
Contact our team to experience our AI-powered pathology algorithms that can help you with your pathology workflow, clinical diagnostics and/or drug development programs.
"*" indicates required fields